161
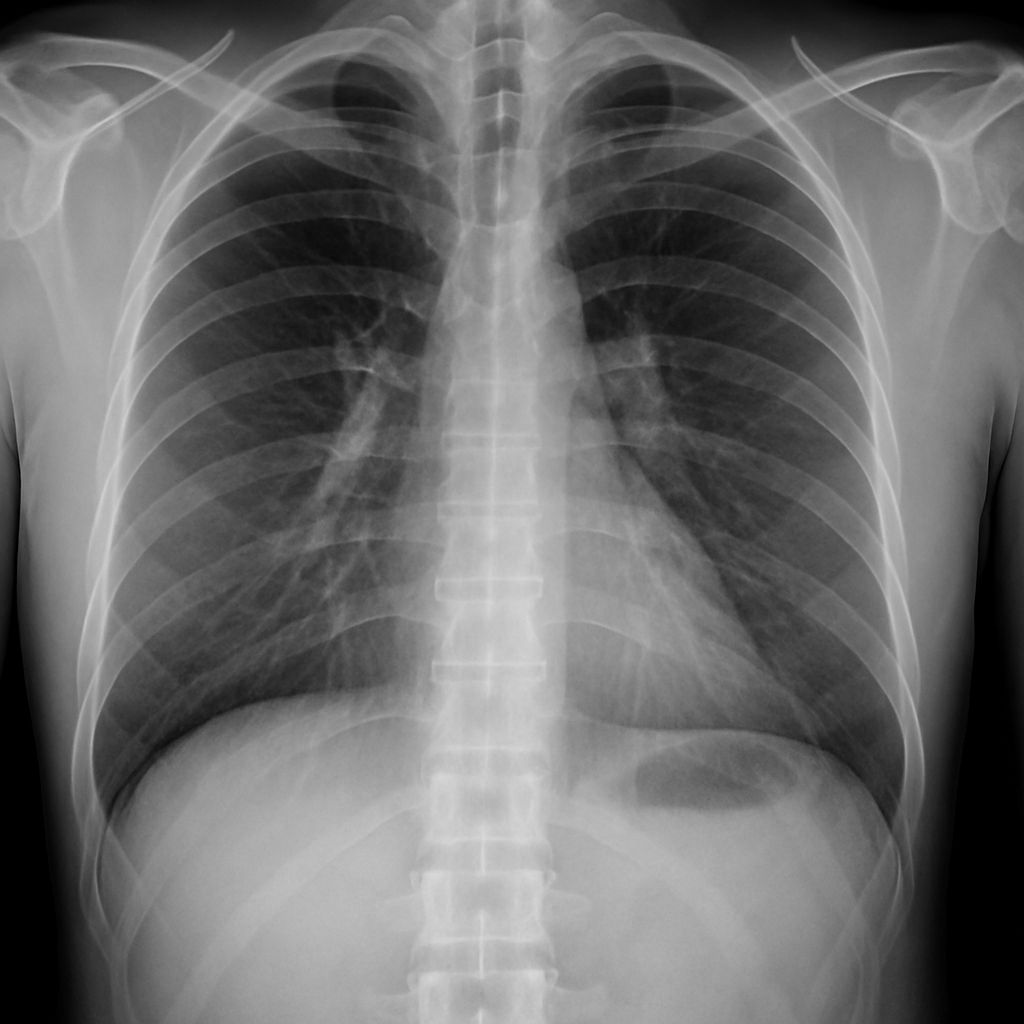
Lunit’s Insight CXR AI suite for chest x-ray imaging analysis was used by the Saudi government and the country’s Seha Virtual Hospital to identify respiratory disease among Hajj pilgrims.
The pilgrimage took place from June 4 to 9 and drew more than 1.5 million people.
The company’s system helped healthcare teams analyze chest x-rays for infectious diseases such as tuberculosis, pneumonia, and Middle East Respiratory Syndrome (MERS).
Seha Virtual Hospital is the world’s largest of its kind and a key component of Saudi Arabia’s Vision 2030 Digital Health Sector Transformation program, Lunit said.
Source: www.auntminnie.com
